Advantages
Superior analgesia results in:
- Less stress for patient/parents/caregivers/staff
- Less opioid requirement
- Less opioid-induced side-effects such as constipation, nausea and vomiting, itching, urinary retention
- Less risk of postoperative opioid-induced respiratory depression and apnoea
- Less respiratory support needed (reduced pain-related shallow breathing after abdominal/thoracic surgery)
- Less hormonal stress response
- Reduced risk of an excessive deep plane of general anaesthesia
- Smoother emergence
- Less depressant cardiovascular effects of anaesthetic drugs
- Less potential adverse effects on the developing brain
- Reduced incidence of emergence delirium
- Faster return of gut function and appetite and therefore faster eating and drinking postoperatively
- Faster mobilisation postoperatively, improved compliance with physiotherapy
Use of ultrasound results in:
- Rapid discharge/reduced length of stay
- Imaging of anatomical structures without ionising radiation
- Straightforward learning curve
- Live visualisation when performing needling procedures:
- Identify targets (nerves, fascial planes) – example 1, median nerve to the forearm

- Identify nearby structures (blood vessels, bowel, bone, pleura) which allows you to avoid complications (especially in small children where target structures and nearby structures are in immediate proximity or very superficial) – example 2, supraclavicular plexus in neonate: very little space between plexus, vessels, pleura, ribs.

- Select best needle approach, real-time information to guide needle insertion, accuracy of needle tip placement
- Insight into the anatomy of the individual patient (detect anatomical variations)
- Possibility to safely perform blocks in the presence of neuromuscular morbidities (landmark technique can be difficult in e.g. myotonia, muscular atrophy) or neuromuscular blockade (neuromuscular stimulation technique can be unreliable).
- Observation of the spread of local anaesthesia; ultrasound (US) allows 30-50% lower doses to be successfully used. Reduced risk of intravascular injection
- Literature shows faster onset times, greater block duration and improved post-operative pain scores in comparison to blind technique
- Most blocks in children are performed when under general anaesthesia which provides excellent conditions to perform a block
- Children are generally smaller than adults and have less subcutaneous tissue, which means a more superficial location of the target areas for the blocks. This allows the use of a high frequency probe for a more detailed image and allows a flatter needle trajectory and therefore improved visualisation of the needle tip
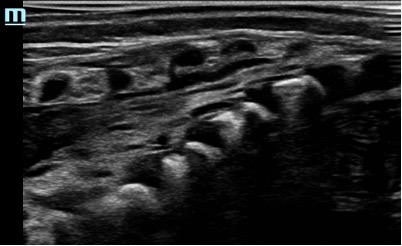
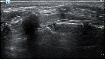
- At birth, the ossification centres of the spine are at an early stage of development; it is therefore possible to obtain excellent spinal images in neonates. With age and increasing ossification, the US window to the spine diminishes (the ossification is complete at 21 years old)
Caudal in a neonate

Caudal in a two year old

Paediatric Plan A Blocks
About
News
Education
Courses
Research
Resources
Grants
Webinars
ASM
Members
Plan A
Plan A Paeds
Plan A Block Videos
Terms & Conditions
Privacy
ASFRA/RAUK Meeting 2026
13th annual conference of the African Society of Regional Anesthesia & Pain Therapy
Membership Terms and Conditions
Content Creators